Meal Prep Magic: How I Used ChatGPT for Budget-Friendly Healthy Eating
In my endeavor to become a better and more consistent cook, I've started meal planning. I've been interested in this process as a way to save money and...
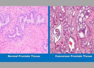
Study Suggests a Healthy Diet May Help Keep Low Grade Prostate Cancer From Progressing...
In a peer-reviewed study believed to be the first of its kind published, a research team led by Johns...
3 so-called ‘healthy’ snacks that might be deceiving you
If you are on a weight-loss journey and also packed on the schedule, you might be reaching out those labelled “healthy” snacks that are readily available in...
Healthy Eating May Slow Progression Of Prostate Cancer
Men with prostate cancer diagnosed at an early stage may be able to slow the progression of their disease by adopting a healthy diet, according to a...
Dietitians reveal best — and worst — foods for stress relief
With holidays looming and a presidential election nigh, autumn could be a season of stress for many.
Experts say the food we consume can lessen the effects of stress by...
Study Shows the Importance of an Anti-Inflammatory Diet
The measure of a healthy diet has long been up for debate, but the old staple of following a specific calorie intake, or making sure that you...
Pasta can be healthy, says nutrition scientist Professor Tim Spector
At a time when nutrition and wellness influencers are often on low-carbohydrate diets, starchy foods like bread, pasta and fries are rarely the subject of positive health-related...
11 Foods That Give You Energy and Fight Fatigue
“Chronic fatigue syndrome is a multi-faceted health condition that affects several body systems,” says Laing. “While a standardized chronic fatigue diet has not been established, consuming a...
Measuring the health value of carbohydrates | News
Carbohydrate quality, glycemic index, metabolic health the focus at the Department of Nutrition’s annual Stare-Hegsted Lecture.
October 17, 2024 – In the late 1970s when low-carbohydrate diets were...
The #1 Habit to Break If You Have High Blood Pressure
If you’re like a lot of people with high blood pressure who ask Dr. Google what to do, you’ll come up with around 1,770,000,000 results in...





































