Bryan Johnson talks Blueprint, aging in Netflix doc ‘Don’t Die’
We're born, we live, we die. But what if we ... didn't die?A ridiculous question, to be sure. But also one that Bryan Johnson, 47, is trying...
Diet and exercise strategies that may lower your ‘biological age’
The SummaryResearch over the last year has found that certain diet and exercise regimens may help reduce a person’s “biological age.”Those regimens include following a plant-based diet,...
Giving the gift of healthier aging this holiday season
As people gather around tables, TVs, and Christmas trees this holiday season, it's important to remind the older family members that they still have a lot of...
4 simple habit changes to help you age well
© 2024 Fortune Media IP Limited. All Rights Reserved. Use of this site constitutes acceptance of our Terms of Use and Privacy Policy | CA Notice at...
Anti-Aging: Are NAD+ Drips the Secret? Doctors Explain
Humans have been trying to look younger since records began, and the newest fad on the market might actually work—or might not—according to doctors.Nicotinamide adenine dinucleotide, otherwise...
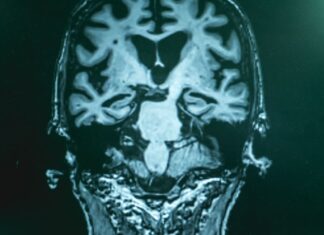
Cognition, Physical Performance, and Brain Health at Age 70
Numerous studies examine a single cognitive or...
Jimmy Carter was the first President to live to 100. Here are his 3...
Purpose with a partner.
Source link
For older workers, volunteerism may slow the aging process
St. Louis — Older workers who volunteer – even in small amounts – can experience slower biological aging, according to a recent study.
Researchers from Washington University in...




































