Aging expert reveals the blueprint for a better life after 50
Sign up for CNN’s Fitness,...
Eating this type of food may be aging you faster: study
So much for aging like fine wine.
Yet another study links ultra-processed foods (UPFs) like packaged snacks, sugary drinks, mass-produced bread, fruit yogurt, some breakfast cereals and meat...
Healthy Aging: Volunteerism as Preventative Health
Photo Credit: Verin Makcharoen
Reported health benefits of volunteering in older adults include: fewer physical limitations, lower depression, improved well-being, and decreased mortality.
Celebrating Healthy...
Scientists Warn of Aging Effects of ‘Harmless’ Breakfast Foods
What did you have for breakfast this morning? Maybe you treated yourself to a fry-up with all the trimmings, or maybe you opted for a "healthy" fruit...
Focus on Healthy Aging With These 6 Expert-Approved Vitamins and Minerals
Maintaining a balanced diet is essential as you age to support everything from your bone health to your immune system. Older adults are at a higher risk for low...
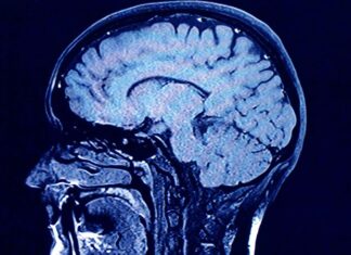
Mediterranean diet may delay brain aging, study finds
Age-related brain atrophy, or the gradual loss of brain volume over time, is a natural part of aging that leads to cognitive decline and neurological issues. However,...
Nutribeauty supplements target men for healthier skin, hair and nails
Nutricosmetic formulators are on to the fact that in the world of selfies — as well as Teams or Zoom call close-ups — physical appearance matters not...





































